矯正治療の抜歯ケースでは、一般的に小臼歯を抜歯して治療を行います。
しかし、大臼歯の状態によっては、小臼歯の代わりに大臼歯を抜歯して治療を進めることがあります。
■ 大臼歯抜歯を選択する理由
大臼歯抜歯には、「やむを得ない場合」と「意図的に選択する場合」があります。
【やむを得ず選択する場合】
・大臼歯がすでに欠損している
・大臼歯の予後が不良(失活歯・重度カリエス・歯根破折など)
【意図的に選択する場合】
・ディスクレパンシー(歯と顎の大きさの不調和)が大きい
・大きな遠心移動が必要なケース
今回は、**「やむを得ず選択する場合」**の症例について解説します。
■ 適応となる症例
・叢生(ガタガタ)が強く、小臼歯抜歯が必要な症例
・前歯の前突があり、小臼歯抜歯が適応となる症例
■ 症例紹介
今回ご紹介するのは、上下前歯の前突を伴う症例です。
患者様は
「横顔をすっきりさせたい」
「前歯のガタガタが気になる」
という主訴で来院されました。

■ 初診時所見
口腔内では以下の問題が認められました。
・上下前歯の叢生(ガタガタ)
・開咬(前歯が咬み合っていない状態)
・下顎右側第一大臼歯の補綴物
顔貌では、口元の突出感を認めました。
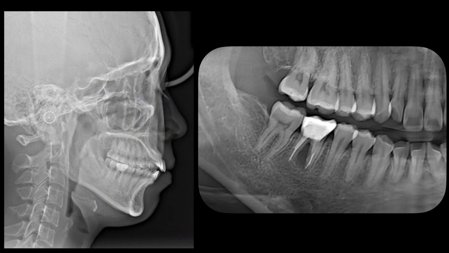
また、パノラマX線写真では、
下顎右側第一大臼歯の分岐部に透過像を認め、歯根破折が疑われ、保存不可能と判断しました。
セファロ分析では、上下前歯の前方傾斜が認められました。

■ 治療方針
通常であれば、上下の第一小臼歯を抜歯し、
① 叢生の改善
② 前歯の後方移動
を行い、口元の突出感を改善します。
しかし本症例では、
下顎右側第一大臼歯が保存不可能であったため、
👉 小臼歯ではなく、大臼歯の抜歯スペースを利用する治療方針としました。
■ 最終的な抜歯部位
・上顎:左右第一小臼歯
・下顎:右側第一大臼歯、左側第二小臼歯
左右で異なる抜歯戦略を用いながら、スペースを確保し、前歯の後方移動を行います。
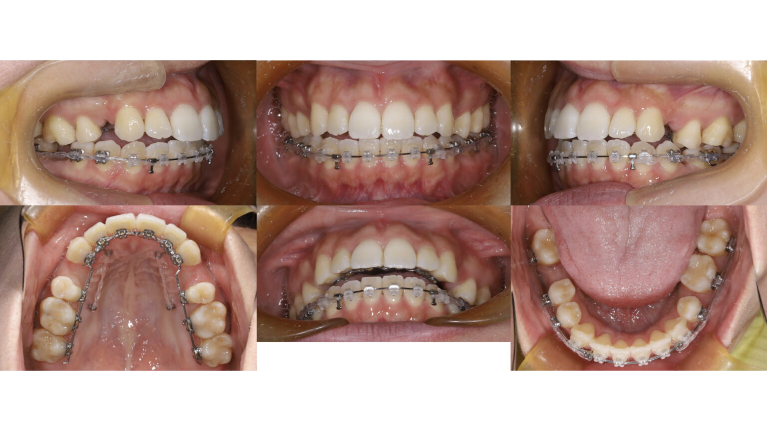
■ 治療経過
上顎にはリンガルブラケット、下顎にはラビアルブラケットを装着し、抜歯スペースの閉鎖を行いました。
また、上顎前歯の後方移動には矯正用アンカースクリューを併用し、確実な移動を図っています。

■ 治療結果
治療終了後の口腔内では、
・上下前歯の良好な咬合関係
・下顎右側第一大臼歯部のスペース閉鎖
・左右犬歯関係の改善
が得られました。
また顔貌においても、口元の突出感が改善し、調和の取れたプロファイルが獲得されています。


■ まとめ
大臼歯抜歯は一般的な選択ではありませんが、
・歯の予後
・力学的な合理性
・全体の治療バランス
を総合的に評価することで、有効な治療戦略となることがあります。
症例ごとに最適な抜歯部位を選択することが、良好な治療結果につながります。